新型重组兔出血症病毒2型在我国首次发现后12个月内流行
来源:李成燚 编译发布时间:2026-03-19 点击率:929
在原始兔出血症病毒 2 型(RHDV2,基因型 GI.2)传入中国仅 12 个月内,四川、江苏、广西三省已检测到新型重组 RHDV2 毒株循环传播。该研究为我国兔出血症防控、疫苗研发及兔产业健康发展敲响警钟。作为全球最大的兔肉生产国,中国兔养殖产业规模庞大,仅四川一省便承担着全国重要的兔养殖、消费及产品贸易功能。而兔出血症(RHD)作为兔子的致命性传染病,以暴发性肝炎为典型症状,曾给全球兔产业造成毁灭性打击。此次新型重组毒株的出现,不仅可能改变我国 RHDV 的遗传演化格局,更对养殖户、疫苗研发人员及科研工作者提出了全新挑战。本文将详细解读该研究核心内容,为相关从业者提供决策参考。
一、研究背景:RHDV 的 “前世今生” 与全球传播
兔出血症病毒(RHDV)属于杯状病毒科兔病毒属,为单股正链 RNA 病毒,具有高致病性和高传染性,感染后可导致兔子急性死亡,给养兔业带来严重经济损失,同时也会影响野生兔子及其捕食者构成的生态系统。
1. RHDV 的基因型分类与特征
根据病毒基因组特征,兔病毒属分为 GI 和 GII 两个基因群,其中 GI 基因群与兔出血症直接相关,进一步细分为 4 个基因型(GI.1-GI.4):
1.1 GI.1:包含经典 RHDV(GI.1b-GI.1d)和抗原变异株 RHDVa(GI.1a),是早期流行的主要毒株;
1.2 GI.2(即 RHDV2):2010 年首次在法国被发现,随后迅速扩散至欧洲、美洲、大洋洲等多个国家,因其宿主范围更广(可感染家兔和野兔)、免疫逃逸能力更强,成为全球关注的新兴毒株;
1.3 GI.3 和 GI.4:均为非致病性毒株,不引起临床症状。所有 RHDV 的基因组结构相似,包含两个开放阅读框(ORF):ORF1 编码多聚蛋白,经切割后形成 7 种非结构蛋白(p16、p23、2C 样蛋白等)和主要衣壳蛋白 VP60(疫苗研发的核心靶点);ORF2 编码次要结构蛋白 VP10。
2. RHDV2 在中国的传播历程
2020 年 4 月,我国首次在四川省发现 GI.2 型 RHDV 感染病例,随后该毒株迅速扩散至多个省份的兔场。此前研究已证实,重组是 RHDV 进化的核心驱动力 —— 病毒通过不同毒株间的基因片段交换,可快速产生新变体,从而适应新环境或突破宿主免疫屏障。例如,最早发现的 GI.2 毒株便是 GI.3(非致病性)与另一毒株重组的产物。
此次研究团队注意到,原始 GI.2 毒株传入中国后,可能与本土流行的其他兔病毒属毒株发生重组,因此开展了针对 2020-2021 年全国兔出血症疫情的专项监测。
二、研究方法:科学严谨的毒株鉴定与致病性分析
为明确新型重组毒株的存在及特征,研究团队采用了 “样本监测 - 基因组分析 - 动物实验” 的完整研究体系,确保结果的可靠性和科学性。
1. 样本收集与处理
2020-2021 年,研究团队从我国 9 个省份的 37 起兔出血症疫情中收集肝脏样本,这些疫情共导致超过 10 万只兔子受影响。样本经 - 70℃冷冻保存后,首先通过血凝试验筛选 RHDV 阳性样本,随后采用逆转录 - 聚合酶链反应(RT-PCR)扩增病毒全基因组序列。
2. 基因组与重组分析
利用 Web BLAST 进行序列比对,通过重组检测程序(RDP 5.5)和 SimPlot 软件筛选重组事件,采用 MEGA 7 软件构建系统发育树(基于最大似然法,GTR+G+I 模型),分别分析病毒结构基因(VP60、VP10,核苷酸 5305-7378 位)和非结构基因(核苷酸 10-5304 位)的进化关系。
3. 动物致病性实验
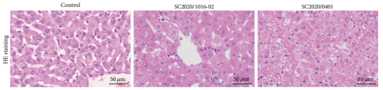
选取 8 周龄 RHDV 血清阴性的新西兰兔,随机分为两组(每组 10 只),分别皮下注射 2×10⁴血凝单位(HAU)的新型重组毒株(SC2020/1016-02)和原始 GI.2 毒株(SC2020/0401,对照组)。在感染后 12、18、24、36、48、68、84 小时采集血液样本,通过实时荧光定量 RT-PCR 检测病毒 VP60 基因表达水平;在兔子濒死期收集肝脏组织,经石蜡包埋、切片后进行 HE 染色,观察肝脏病理损伤;剩余兔子持续观察 7 天,统计死亡率和存活时间。
该动物实验已获得江苏省农业科学院实验动物伦理委员会批准(批准号:NKYVET 2023-0105),严格遵循《实验动物质量管理办法》和《实验动物人道处理指南》。
三、核心发现:新型重组毒株的三大关键特征
通过系统研究,团队在四川、江苏、广西三省分离到 4 株新型重组毒株(SC2020/1016-02、SC2020/1025、JS2021/0125、GX2021/0421,GenBank 登录号:ON638912-ON638915),其核心特征如下:
1. 基因重组特征:结构基因来自 GI.2,非结构基因源自未分类毒株
全基因组分析显示,新型重组毒株的基因片段存在明确的重组断点 —— 位于核苷酸 5301 位(非结构蛋白与结构蛋白交界处,RdRp/VP60 之间),该重组事件经 6 种方法验证,统计显著性 p<0.01。结构基因(VP60、VP10),与中国原始 GI.2 毒株 SC2020/0401 的核苷酸同源性高达 99.0% 以上,说明其抗原表位可能与原始 GI.2 毒株高度相似;非结构基因,与我国此前在健康野兔中发现的未分类兔病毒属毒株 JS-NATF2 同源性最高(核苷酸同源性约 88.8%,氨基酸同源性约 97.8%),而与原始 GI.2 毒株的同源性仅为 85.0% 以下。
系统发育树分析进一步证实:新型重组毒株的结构基因与 GI.2 毒株聚为一支,非结构基因则与 JS-NATF2 毒株形成独立分支(自举值 100),且靠近 GI.1a 毒株,明确证实其重组起源。
2. 致病性变化:死亡率下降但传播风险升高
与原始 GI.2 毒株相比,新型重组毒株的致病性呈现 “低死亡率、长感染期、高病毒载量” 的特点:
2.1死亡率:重组毒株感染组兔子死亡率为 60%,显著低于原始毒株组的 100%;
2.2感染周期:重组毒株的复制周期更长、复制速度更慢,但在兔子濒死期,两组病毒的载量(VP60 基因表达水平)几乎一致;
2.3病理损伤:原始毒株感染组兔子的肝脏坏死更严重,而重组毒株感染组的肝脏损伤相对较轻,对照组无明显病理变化。
这一特征意味着:感染重组毒株的兔子存活时间更长,期间会持续向环境中释放病毒,导致环境病毒污染浓度升高;同时,长感染期增加了病毒通过活兔贸易跨区域传播的概率,给疫情防控带来更大挑战。

3. 传播范围:3 省 6 个月内相继出现,人为因素驱动扩散
研究发现,4 株重组毒株分别于 2020 年 10 月 - 2021 年 4 月在四川、江苏、广西三省被发现,时间跨度仅 6 个月。考虑到四川与江苏(约 1500 公里)、广西(约 1000 公里)的地理距离和自然屏障,研究团队推测,活兔贸易和人员、车辆流动是驱动病毒跨区域传播的主要人为因素。
四川作为我国兔肉消费第一大省,与全国各养殖区的活兔贸易往来频繁,这种频繁的流通为病毒传播提供了 “便利条件”,也警示我国活兔调运检疫工作亟待加强。
四、针对不同人群的关键启示与行动建议
1. 养殖户:强化防控意识,降低感染风险
新型重组毒株的传播特性(长感染期、高环境污染)对养殖防控提出了更高要求,建议养殖户采取以下措施:
(1)严格检疫:避免从疫情高发省份调入活兔,新引进兔子需隔离观察至少 14 天,经检测确认 RHDV 阴性后再合群饲养;
(2)环境消毒:RHDV 可在环境中存活数月,需定期用含氯消毒剂、过氧乙酸等对兔舍、器具、运输车辆进行彻底消毒,尤其注意粪便、分泌物的无害化处理;
免疫防护:养殖户应优先选用针对 GI.2 型 RHDV 的疫苗,确保免疫覆盖率达 100%,同时加强免疫后抗体监测,及时补免;
2. 科研人员:聚焦重组特征,优化疫苗设计
新型重组毒株的出现,为疫苗研发带来了新的方向和挑战,建议重点关注以下方面:
(1)疫苗株更新:虽然重组毒株的 VP60 基因与原始 GI.2 毒株同源性高达 99%,但需进一步验证现有 GI.2 疫苗对重组毒株的保护效果;若保护力不足,应及时将重组毒株纳入疫苗候选株库,研发多价或重组疫苗;
(2)靶点验证:非结构基因的重组可能影响病毒复制效率和致病性,可深入研究 JS-NATF2 毒株非结构蛋白的功能,探索新型疫苗佐剂或靶向药物的研发方向;
(3)快速检测技术:开发针对重组毒株的特异性 RT-PCR 或胶体金检测试剂盒,区分原始 GI.2 毒株与重组毒株,为疫情监测和免疫评估提供技术支持;
(4)交叉保护研究:开展重组毒株与 GI.1、GI.2 等不同基因型毒株的交叉中和试验,明确疫苗的交叉保护范围,为多基因型 RHDV 防控提供依据。
五、研究意义与未来展望
该研究首次证实我国 RHDV2 在短期内发生重组,为病毒进化研究提供了重要案例。该研究的核心价值在于:首次揭示了我国 RHDV2 在传入后 1 年内便发生重组,证实了兔病毒属极强的重组能力,为理解 RNA 病毒的快速进化提供了典型范例。同时,研究明确了新型重组毒株的传播风险和致病性特征,为我国兔出血症的精准防控提供了科学依据。
从产业层面看,中国兔养殖产业年产值超百亿元,涉及数千万从业人员。新型重组毒株的循环传播,若防控不当,可能导致大规模疫情暴发,给产业带来沉重打击。因此,加强活兔调运监管、完善疫情监测网络、加快疫苗升级迭代,是保障兔产业健康发展的关键举措。从科研层面看,RHDV 的重组进化研究可为其他 RNA 病毒(如杯状病毒科的诺如病毒、冠状病毒等)的防控提供参考。未来,需进一步加强 “监测 - 研发 - 应用” 的全链条协作,建立产学研一体化平台,快速响应新型毒株的出现。
新型重组 RHDV2 毒株的出现,再次提醒我们:传染病的防控是一场持久战,病毒的进化速度远超想象。对于养殖户而言,防控是 “生命线”,需时刻保持警惕;对于疫苗研发人员而言,创新是 “核心力”,需紧跟病毒变异步伐;对于科研人员而言,探索是 “指南针”,需深化基础研究为防控提供支撑。唯有协同发力,强化监测预警、优化防控措施、加快技术创新,才能有效应对新型重组毒株的挑战,守护我国兔产业的健康发展,保障生态安全与公共卫生安全。让我们共同关注 RHDV 防控动态,携手筑牢动物疫病防控的 “第一道防线”!

在线客服
猪疫苗

